пришлите новость

Telegram

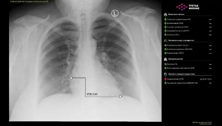
Наступило будущее? В Башкирии искусственный интеллект успешно расшифровал рентгеновский снимок

10:35, 01 ноября 2024

Рассказываем подробности

В Башкирии впервые нейросеть расшифровала рентгеновский снимок пациента. Информация об этом появилась в официальном телеграм-канале Минздрава Башкирии.

В городской больнице №21 был успешно испытан сервис «МосМедИИ»: рентгеновский снимок грудной клетки пациента был обработан цифровым помощником на базе искусственного интеллекта. В течение минуты нейросеть проанализировала изображение, выделила патологические зоны и сформировала протокол исследования.

Это — значительный шаг вперёд в цифровизации здравоохранения, позволяющий гораздо быстрее анализировать КТ, МРТ, рентгеновские и другие медицинские изображения. Однако окончательное решение поставит врач. Планируется расширение числа участвующих медучреждений и интеграция дополнительных ИИ-сервисов в рамках национального проекта «Здравоохранение».

Ранее мы писали, что в Республиканском кардиологическом центре Уфы успешно завершили операцию на сердце пожилой женщины с серьезным заболеванием. Об этом сообщил исполняющий обязанности министра здравоохранения Республики Башкортостан Айрат Рахматуллин через свой телеграм-канал. По данным источника, женщина из Кармаскалинского района обратилась в кардиологическое отделение с диагнозом сердечно-легочной недостаточности. Она страдала от одышки, отеков ног, а также имела доброкачественную опухоль мозга и ревматизм. Ее состояние стабильно ухудшалось из-за выхода из строя митрального клапана сердца.

Следите за нашими новостями в удобном формате - Перейти в Дзен, а также в Telegram «Пруфы», где еще больше важного о людях, событиях, явлениях..
ПОДЕЛИТЬСЯ






последние новости